Get orthodontist approved treatment plan by submiting trial case
Support
6+
Experience
ABOUT US
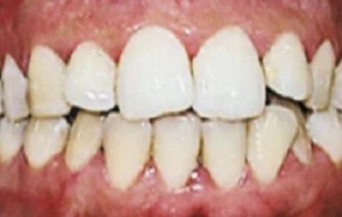
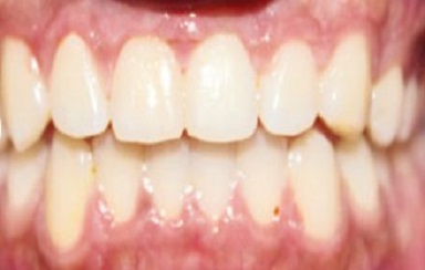
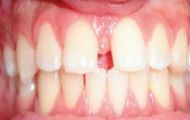
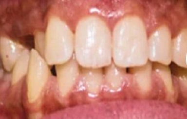
At Clerio Dentix, we deliver digitally engineered orthodontic solutions built on advanced 3D biomechanics and clinical precision. Specializing in high-accuracy aligner treatment planning and premium clear aligner production, our intelligent workflow ensures every case is predictable, efficient, and biomechanically sound β never guessed.

Active Clients
Team Support
Projects Completed
Award winner
Precision. Speed. Value. Designed for modern orthodontic practices.
Fast and efficient 24β48 hour case planning without compromising clinical accuracy.
Biomechanically precise staging for predictable finishing and superior treatment outcomes.
Premium digital orthodontic planning at strategically optimized market pricing.
OUR BEST SERVICE